Celbouw en DNA
Elke cel in ons lichaam bevat een celkern met daarin DNA.
Het DNA bevat informatie over de bouw en de werking van de cellen. In de lichaamscel van mensen bevinden zich in de celkern 46 (2x23) chromosomen. De helft daarvan komt van je vader, de andere helft van je moeder. Chromosomen zijn opgebouwd uit DNA en eiwitten.
DNA
Alle cellen van het menselijk lichaam bevatten hetzelfde DNA. Toch verschillen cellen duidelijk van elkaar. Dat komt doordat niet al het DNA in elke cel wordt gebruikt. In een spiercel zijn bijvoorbeeld andere DNA gedeeltes actief dan in een zenuwcel.
Cytoplasma
Inhoud van de cel, vloeistof en celorganellen.
Celorganel
Onderelen van de cel met een eigen bouw en functie (vergelijkbaar met organen bij mensen).
Cel
Kleinste eenheid waaruit organismen bestaan.
Celkern
De celkern regelt processen in de cel en bevat het DNA.
Chromosoom
Chromosomen bestaan uit DNA-moleculen en eiwitten.
DNA-keten
DNA bestaat uit langgerekte moleculen die als een soort wenteltrap zijn gebouwd.
Gen
Stukje van het DNA dat de informatie voor een bepaalde eigenschap bevat.
tekst te typen.
Celdeling en celcyclus
Elke seconde gaan er miljoenen cellen dood. Die cellen worden echter weer vervangen doordat kiemcellen ofwel stamcellen zich kunnen verdubbelen.
Een van de nieuwe cellen verdubbelt zich weer opnieuw en dat herhaalt zich telkens opnieuw.
Dit heet de celcyclus.
De nieuwe cel (nakomeling) krijgt een bepaalde vorm en een taak in het lichaam, bijvoorbeeld spiercel of huidcel.
Mutaties
Bij de celdeling moeten alle onderdelen van de cel (dus ook het DNA) verdubbeld worden. Tijdens de DNA verdubbeling zijn de 46 chromosomen goed zichtbaar met een lichtmicroscoop. Elke chromosoom bestaat na het verdubbelen uit twee dezelfde chromatinedraden en heeft dus dezelfde DNA.
Bij de verdubbeling van DNA gaat er soms iets fout. Hierdoor ontstaan verschillen tussen de bij elkaar horende chromatinedraden. Een fout bij de verdubbeling heet een mutatie.
Oorzaken van mutaties noem je mutageen.
Chemische stof: Stoffen zoals benzeen en asbest zijn mutageen.
Straling: Röntgenstraling en radioactieve straling zijn mutaties.
Virus: Sommige virussen kunnen DNA beschadigen.
Gevaarlijke stoffen binnen de cel: Deze kunnen per ongeluk ontstaan.
Genfouten: Deze kunnen van ouders op kinderen worden overgedragen en op een bepaalde leeftijd voor problemen zorgen.
Reparatie: Veel fouten worden door de cel zelf gerepareerd.
Celdood: Veel cellen waarin mutatie plaatsvindt, gaan vanzelf dood of stoppen met de celcyclus.
Mutatie: De nakomelingen van de stamcel bevatten een beschadiging in hun DNA: een mutatie.
Tumoren
Een normale cel wordt bestuurd door zijn omgeving. Als er veel cellen nodig zijn, gaat hij zich verdubbelen. Als er weinig cellen nodig zijn, wordt de celverdubbeling geremd.
Mutaties kunnen ertoe leiden dat een cel niet meer geremd wordt door zijn omgeving. Zo’n cel kan zich ongecontroleerd gaan vermenigvuldigen. Er kan dan een bobbeltje met gemuteerde cellen ontstaan: een tumor.
Hier zie je een hersentumor op een scan van de hersenen.

Uitzaaiing - kwaadaardig
Veel tumoren zijn goedaardig. Ze groeien langzaam en blijven op één plek zitten.
Een voorbeeld daarvan is een vetbobbeltje. Een goedaardige tumor is meestal eenvoudig weg te snijden zonder veel schade.
Tumoren zijn gevaarlijk als ze snel groeien, op een gevaarlijke plaats zitten en als ze zich uitzaaien. Dan spreek je van kwaadaardige tumoren ofwel kanker.
Als kankercellen losraken van de tumor, kunnen ze zich verspreiden via het bloed.
Dat heet uitzaaien. Op onderstaande afbeeldingen kun je zien hoe kanker ontstaat.
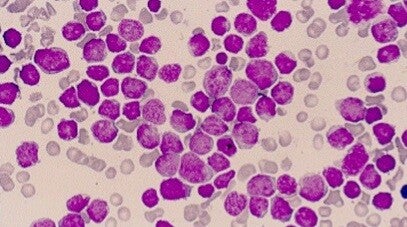
Leukemie
Bij leukemie ofwel bloedkanker zijn de bloedvormende cellen in het rode beenmerg veranderd in kankercellen.
Daardoor maken zij te veel witte bloedcellen.
Die kunnen andere cellen in het lichaam aantasten.
Bovendien worden er minder rode bloedcellen en bloedplaatjes gemaakt.
Behandeling van kanker
Kankercellen kunnen worden gedood of in hun groei geremd door bestraling (radioactieve stoffen) en chemotherapie (zware medicijnen). Soms kan de tumor operatief worden verwijderd. Als er geen kankercellen achterblijven in het lichaam, is de patiënt genezen.
Bij bestraling en chemotherapie kunnen ook gezonde cellen dood gaan.
Gelukkig kan er tegenwoordig steeds nauwkeuriger bestraald worden.
Ook zijn er betere medicijnen die minder schade aan gezonde cellen geven.
Maak jouw eigen website met JouwWeb